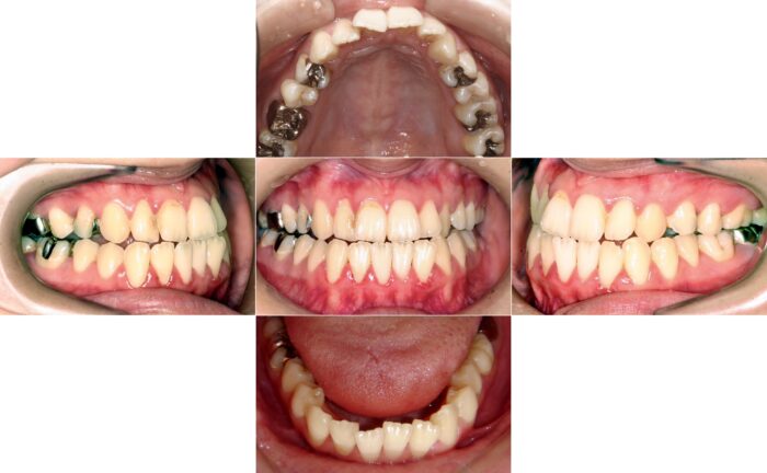
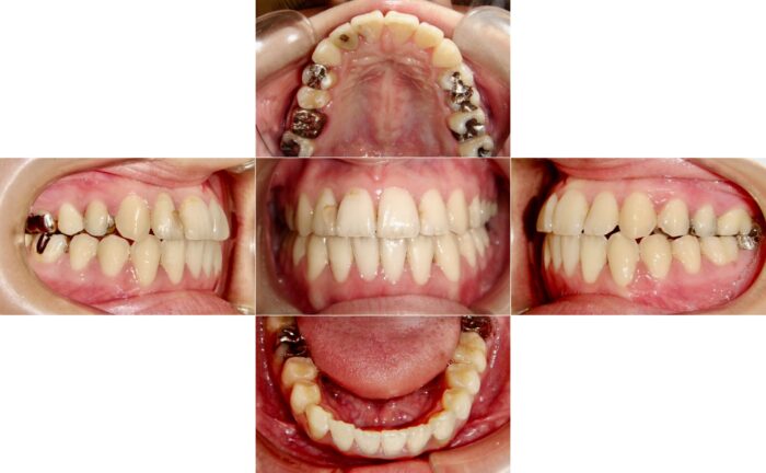
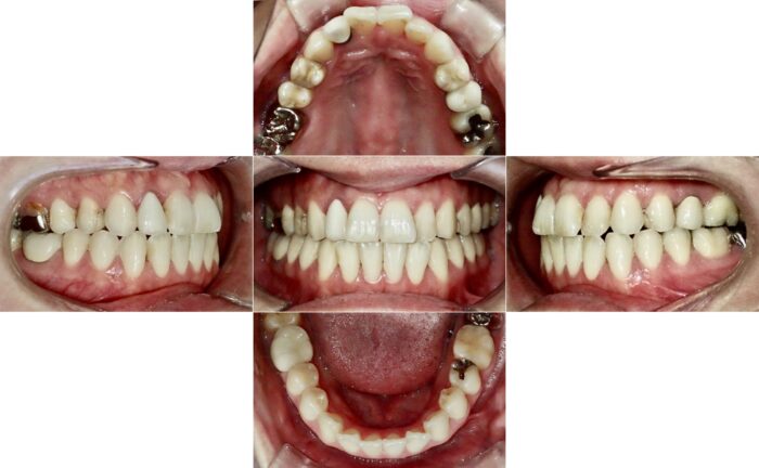
Case.1 治療終了後18年
| 患者様属性 | |
|---|---|
| 年齢 | 20歳 |
| 性別 | 女性 |
| 住所 | 和光市 |
| 主訴 | 受け口 |
| 診断(不正咬合の種類) | 下顎前突 |
| 装置 | ワイヤー矯正/表側(上下透明なブラケット) |
| 抜歯の有無 | 非抜歯 |
| 治療期間 | 17か月 |
| 費用 | 703,500円 |
| リスク・副作用 | ブラッシング不良によるカリエス、歯肉退縮、歯根吸収 |

▼

▼

| 患者様属性 | |
|---|---|
| 年齢 | 20歳 |
| 性別 | 女性 |
| 住所 | 和光市 |
| 主訴 | 受け口 |
| 診断(不正咬合の種類) | 下顎前突 |
| 装置 | ワイヤー矯正/表側(上下透明なブラケット) |
| 抜歯の有無 | 非抜歯 |
| 治療期間 | 17か月 |
| 費用 | 703,500円 |
| リスク・副作用 | ブラッシング不良によるカリエス、歯肉退縮、歯根吸収 |



担当医が質問に回答
*通院中の患者様に限ります
矯正治療は、通常4~6週間に一度の通院です。
その間、痛みや急なトラブルなど色々なことが起こります。
写真を撮りLINEにて送信ください。担当医が返信いたします。
些細な質問でもお気軽にお問い合わせください。
安心して矯正治療が受けられるようサポートしております。